실명 환자들이 안구 후면에 칩을 이식하는 국제 임상 시험을 통해 시력을 일부 회복했다고 영국 일간 텔레그래프가 20일(현지시간) 전했다.
영국과 프랑스, 독일, 이탈리아, 네덜란드 등 유럽 5개국 내 38명의 실명 환자는 미국 캘리포니아 바이오테크 기업 사이언스 코퍼레이션이 개발한 프리마(Prima) 임플란트 시험에 참여했다.
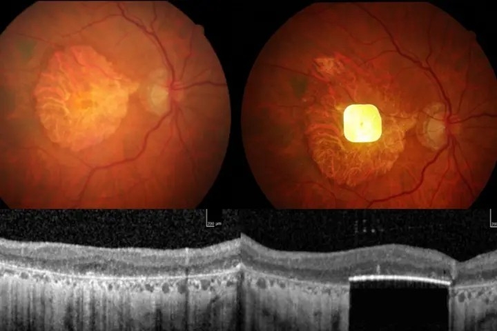
지리적 위축증(GA)이라 불리는 건성 황반변성(AMD) 환자들은 머리카락 굵기 정도의 두께를 가진 2㎜ 크기의 초소형 광전 마이크로칩을 망막 아래에 삽입했다.
이렇게 처리된 이미지는 임플란트와 시신경을 통해 환자의 뇌로 전달돼 시각을 일부 회복할 수 있게 해준다.
환자들은 새로운 형태의 시각 정보를 해석하는 방법을 익히기 위해 수개월간 훈련받았다.
그 결과 칩을 이식받은 32명 중 27명이 중심 시력을 이용해 다시 읽을 수 있게 됐다.
이번 임상 시험의 영국 측을 주도한 런던 무어필즈 안과병원의 마히 무킷 전문의는 "이들은 시력 상실로 더 이상 읽거나 쓰거나 얼굴을 알아볼 수 없었던 노인 환자"라며 "어둠에서 벗어나 다시 시력을 활용하기 시작했다"고 말했다.
이어 "인공 시력 역사상 새로운 시대를 의미한다"며 "실명 환자들이 실제 의미 있는 중심 시력 회복을 경험할 수 있게 됐는데 이는 전례 없는 성과"라고 평가했다.

뉴잉글랜드 의학 저널에 게재된 이 연구의 주저자인 독일 본 대학교의 안과 전문의 프랑크 홀츠 교수는 "지리적 위축증으로 실명한 환자에게 기능적 중심 시력을 회복시킬 수 있음을 처음으로 확인했다"며 "이 임플란트는 말기 AMD 치료에 패러다임의 전환을 의미한다"고 말했다.
임상 시험에 참여한 환자들은 시력을 되찾은 기쁨을 감추지 못했다.
시각장애인으로 등록된 70세의 실라 어빈은 칩 이식 전 눈앞에 두 개의 검은 원반이 있어 독서와 운전이 불가능했다고 말했다.
그는 "열렬한 독서광이었는데 그 삶을 되찾고 싶었다"며 "처음엔 전혀 볼 수 없었지만 어느 날 글자 가장자리가 보이기 시작했고, 이후 글자 하나가 보이기 시작했을 땐 정말 짜릿했다"고 회상했다.
어빈은 다만 특수 안경을 끼고 글자를 읽어야 할 때 엄청난 집중력이 요구되는 데다, 화면이 흔들리지 않도록 머리를 고정해야 해서 야외에서는 이 장치를 작용하지 않는다고 말했다.
프리마 임플란트는 아직 정식 허가를 받지 않아 임상 시험 외에는 이용할 수 없다. 향후 비용이 얼마나 들지도 불분명하다.
무킷 전문의는 향후 몇 년 안에 영국 국민보건서비스(NHS)를 통해 이 기술이 제공될 수 있길 희망했다.
다만 선천적 시각 장애인은 뇌로 신호를 전달할 기능성 시신경이 없어 이 임플란트의 도움을 받기 어려울 것이라고 영국 BBC 방송은 전했다.




